他院にてむし歯治療後にクラウンを装着された患者様。
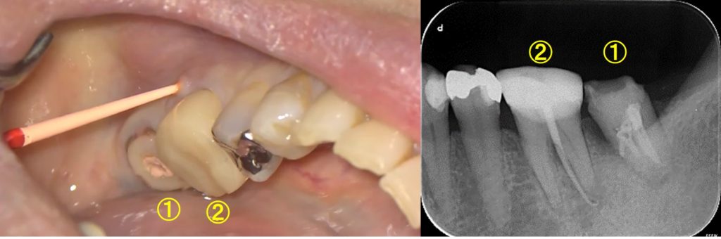
同時に後方の歯の根管治療をおこなうと、クラウン装着した歯ぐきが腫れて痛むようになりました。患者様は、「根管治療した歯①が痛む?」と思い、当院を受診されましたが、原因は、クラウンを被せた歯②にありました。
本動画は、②の歯の根管治療の様子です。
レントゲンでみると問題がないように見えましたが、腫れの原因は②の歯根の先端にあることが分かります。
ラバーダムを装着し、クラウンを除去すると、クラウンの下はむし歯になっていました。
細菌が歯の内部深くまで進行していたことで、神経(=歯髄)が死んでしまっている状態(=歯髄壊死)でした。
当院で適切に根管治療を行い、あと1~2回で根管治療は終了の予定です。
本症例のクラウンはつい先日製作・装着したばかりです。
前医は肉眼で治療していたとのこと。残念でなりません。
当院では可能な限り神経の治療(=根管治療)とならないように、「神経を残すこと」を大事に治療に臨んでいます。それでも細菌の感染が大きく、痛みが治まらない状態や歯髄壊死では適切なる根管治療が必要となります。
歯の治療はできれば1回だけで終わらせたい。
一生に一度の歯科治療、やり直しのない歯科治療を目指し、当院ではマイクロスコープとラバーダムで日々の臨床に臨んでいます。







